clinical service-Advanced ENT & Multispeciality Hospital
Home
About
About Hospital
Our Doctors
We Provide
Clinical Services
Equipment
Mediclaim & Cashless Services
Gallery
Video
Hospital Activities
Clinical Cases
Consultant Achievement
›
Dr. Atul Pore
Dr. Ritesh Bhagyawant
Dr. Sachin Nagare
Dr. Shaligram Tonde
Contact Us
Clinical Cases
Home
Clinical Cases
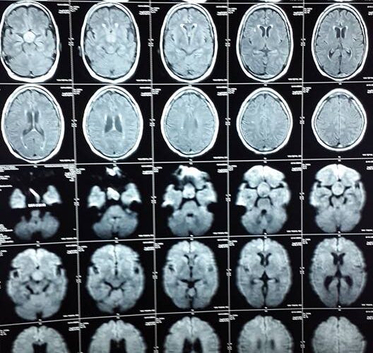
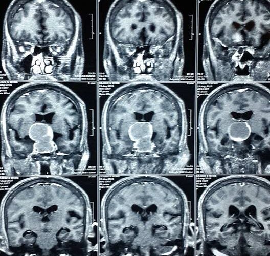
3 Endoscopic Pituitary Cases in Manik Hospital
Operated Case of Crico-Tracheal Anastomosis
Post Traumatic Tracheal Stenosis
Your browser does not support the video tag.
clinical service-Advanced ENT & Multispeciality Hospital